Kedves elsőéves ÁOK és FOK hallgatók!
Egy különleges, szabadon választható (1 kredit értékű) kurzusra hívjuk fel a figyelmeteket, amely egyszerre segíti az anatómia demóra, vizsgára való felkészülést, valamint betekintést enged a modern radiológiai képalkotás (PCCT) vívmányaiba.
Mit kínál a kurzus?
Két kiemelt régióval fogunk foglalkozni:
• Szív – 2026. február 21. (szombat, 1. oktatási hét)
• Hasi szervek, kevés retroperitoneum – 2026. március 14. (szombat, 4. oktatási hét)
Időbeosztás:
• 2 félnap a fenti szombatokon 9:00 – 13:30
• 2 × 1 óra vizsga az adott oktatási nap utáni héten, hétfőn vagy kedden este (A pontos időpontról az oktatási napon még egyeztetni fogunk.)
Hogyan zajlik az oktatás?
A jelentkezőket két csoportra osztjuk:
• Bonctermi csoport – hagyományos anatómiai preparátumok segítségével.
• Radiológiai csoport – CT-felvételeken, digitális módon tanulják az anyagot.
A második alkalommal a csoportok helyet cserélnek, így minden hallgató mindkét oktatási módszert kipróbálja.
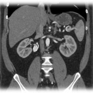
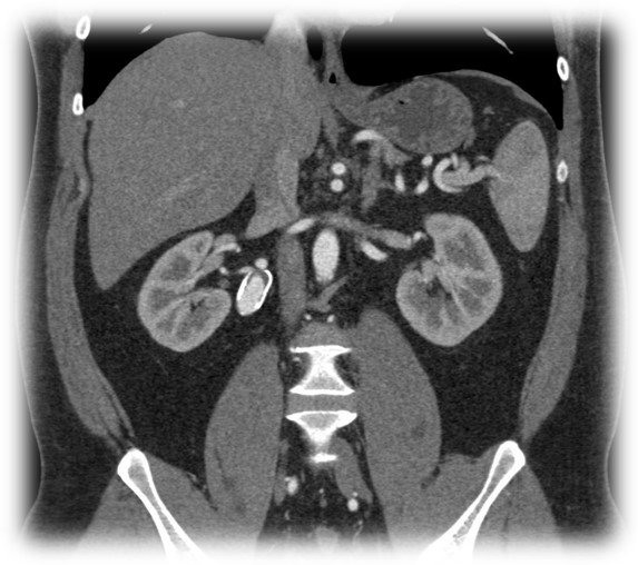
Pár kép az oktatás radiológiai részéről:
(SE-OKK, SIEMENS, CTISUS)
A vizsga feladatai:
• Anatómiai struktúrák, térségek felismerése preparátumon és CT-felvételeken (2×20)
• Rövid elméleti kérdések (2×5)
Értékelés:
Tapasztalataink szerint az oktatási napokon való aktív részvétellel és otthoni kb. 1,5-2 óra egyéni készüléssel kiválóan megfelelt (5) érdemjegy szerezhető. A 2 vizsga átlagát felfelé kerekítjük. Alulteljesítés esetén a minősítés megfelelt (3).
Jelenlét, hiányzás:
A részvétel mindkét oktatási napon és azt követő vizsgán kötelező; pótlás alapvetően nem lehetséges a tömbösítés miatt. Betegség, vis maior esetén igazolás felmutatása ellenében egyedi elbírálást alkalmazunk. Amennyiben magas létszám esetén indulnak párhuzamos csoportok, úgy a pótlás a párhuzamos órán megoldható.
Miért érdemes jelentkezni?
• Segíti az anatómia demókra, vizsgára való felkészülést.
• Már első évben betekintést nyújt a modern radiológiai diagnosztika világába.
• Szabadon választható tárgyként kreditet is szerezhetsz vele.
Oktatás helyszínei:
• Orvosi Képalkotó Klinika, 1083 Budapest, Korányi Sándor u. 2.
• Anatómiai, Szövet- és Fejlődéstani Intézet, 1094 Budapest, Tűzoltó u. 58.
Várjuk szeretettel a jelentkezéseket egészen február 19-e éjfélig. Amennyiben a Neptun már nem engedi a felvételt, emailben keressetek minket!
A kurzusfelelősök és az Orvosi Képalkotó Klinika munkatársai nevében:
Dr. Kozsurek Márk – kozsurek.mark@semmelweis.hu
Dr. Gulyás Ádám – gulyas.adam@semmelweis.hu



