Tudományos híradó című cikksorozatunkban az egyetemhez köthető D1 minősítésű tudományos közleményekről olvasható rövid összefoglaló. A cikkeket az elmúlt időszak megjelenései alapján a Központi Könyvtár, illetve a tudományos és innovációs rektorhelyettes válogatta.
Tartalomjegyzék
- Nyugati étrend és kognitív hanyatlás – tanulságok a Semmelweis Study tervezéséből
- A talajról való felállás képességének jelentősége és hatása a funkcionális képességre, az esésrizikóra, valamint a mozgástér nagyságára idős személyek körében
- Gyulladásos bélbetegségben szenvedő serdülők egészségértése és táplálkozása
- EEG-hiperszkennelés – interperszonális folyamatok vizsgálata szkizofrénia-spektrum zavarban
- A Mentalizált Affektivitás Skála (MAS) magyar változatának faktorszerkezete és pszichometriai sajátosságai: egy keresztmetszeti vizsgálat
- Aktualitások a herevisszér kivizsgálásában és kezelésében
- Gyökérreszorpció alignerek, önligírozó készülékek és hagyományos rögzített készülékek alkalmazása során: CBCT-alapú metaanalízis
- Új CT-technológia segíthet csökkenteni a sugárterhelést az érszűkületes betegek vizsgálatában
- Az esszenciális tremor prevalenciája és terápiája Magyarországon 2010-2020 között
- A sztatinkezelés optimalizálása időskorban: szisztematikus áttekintés az adagolásról, dózisemelésről és kombinációs stratégiákról
- Koraszülés és alacsony születési súly az élelmiszerbiztonság tekintetében:egy összehasonlító vizsgálat tapasztalatai az indonéziai Surabaya-ban
- Az inflammaszóma komponensek többszervi karakterizációja az előrehaladott szívelégtelenség patkánymodelljében
- Vitiligo és daganatrizikó kapcsolatának szisztematikus vizsgálata
- Tér- és időbeli szabályozás a farmakológiában: fénnyel szabályozható peptidek és foldamerek
- Innovatív MRI-technika lehetőségei az agydaganatok pontosabb kimutatásában
- FDA- és EMA-által jóváhagyott nem invazív képalkotó technikák a bazálsejtes karcinóma altípusainak meghatározására
- Mesterséges intelligencia az alapellátásban: szisztematikus áttekintés
- Az energiában gazdag táplálék és a cukor fogyasztása kontroll személyekben és depressziósokban is együtt jár a rossz kedvvel
Nyugati étrend és kognitív hanyatlás – tanulságok a Semmelweis Study tervezéséből
A Semmelweis Egyetem kutatói áttekintő közleményükben a nyugati étrend neurokognitív következményeit és a megelőzés lehetőségeit elemezték. Rámutattak, hogy a telített zsírokban, finomított szénhidrátokban és ultrafeldolgozott élelmiszerekben gazdag étrend fokozza a szisztémás gyulladásos folyamatokat, erősíti az oxidatív stresszt és elősegíti az endothel diszfunkció kialakulását. E tényezők együttesen hozzájárulnak a neurovaszkuláris öregedéshez és a kognitív hanyatlás felgyorsulásához.
Ezzel szemben a polifenolokban, omega-3 zsírsavakban és teljes értékű tápanyagokban gazdag mediterrán étrend neuroprotektív hatású: elősegíti az agyi érrendszeri integritás fenntartását, valamint fokozza a neurotróf faktorok (BDNF, NGF) aktivitását. A szerzők hangsúlyozták a cognitive frailty koncepcióját mint befolyásolható, reverzibilis átmeneti állapotot, amely célzott intervenciókkal a korai prevenció kiemelt lehetőségét jelenti. A bemutatott Semmelweis Study prospektív kohorszvizsgálat a Semmelweis Egyetem dolgozói körében értékeli a táplálkozási, pszichoszociális és metabolikus tényezők hatását az öregedésre és a kognitív funkciókra. A kapcsolódó EUniWell munkahelyi egészségfejlesztő program a prevenció gyakorlati megvalósítását célozza, a táplálkozás, a fizikai aktivitás és a kardiovaszkuláris kockázati tényezők befolyásolásán keresztül. A vizsgálat eredményei megalapozhatják kulturálisan adaptált, bizonyítékokon alapuló étrendi és életmódbeli intervenciók kidolgozását, amelyek hozzájárulhatnak a kognitív hanyatlás lassításához és az egészséges öregedés elősegítéséhez – írta összefoglalójukban dr. Fekete Mónika és dr. Lehoczki Andrea Marianna.
Western Diet and Cognitive Decline: A Hungarian Perspective—Implications for the Design of the Semmelweis Study
Andrea Lehoczki (Institute of Preventive Medicine and Public Health, Semmelweis University; Fodor Center for Prevention and Healthy Aging, Semmelweis University; Doctoral College, Health Sciences Division, Semmelweis University), Tamás Csípő (Institute of Preventive Medicine and Public Health, Semmelweis University;
Fodor Center for Prevention and Healthy Aging, Semmelweis University), Ágnes Lipécz (Institute of Preventive Medicine and Public Health, Semmelweis University;
Fodor Center for Prevention and Healthy Aging, Semmelweis University), Dávid Major (Institute of Preventive Medicine and Public Health, Semmelweis University;
Fodor Center for Prevention and Healthy Aging, Semmelweis University), Vince Fazekas-Pongor (Institute of Preventive Medicine and Public Health, Semmelweis University;
Fodor Center for Prevention and Healthy Aging, Semmelweis University), Boglárka Csík (Institute of Preventive Medicine and Public Health, Semmelweis University;
Fodor Center for Prevention and Healthy Aging, Semmelweis University), Noémi Mózes (Institute of Preventive Medicine and Public Health, Semmelweis University;
Fodor Center for Prevention and Healthy Aging, Semmelweis University), Ágnes Fehér (Institute of Preventive Medicine and Public Health, Semmelweis University;
Fodor Center for Prevention and Healthy Aging, Semmelweis University), Norbert Dósa (Institute of Preventive Medicine and Public Health, Semmelweis University;
Fodor Center for Prevention and Healthy Aging, Semmelweis University), Dorottya Árva (Institute of Preventive Medicine and Public Health, Semmelweis University;
Fodor Center for Prevention and Healthy Aging, Semmelweis University), Kata Pártos (Institute of Preventive Medicine and Public Health, Semmelweis University; Fodor Center for Prevention and Healthy Aging, Semmelweis University), Csilla Kaposvári (Institute of Preventive Medicine and Public Health, Semmelweis University; Fodor Center for Prevention and Healthy Aging, Semmelweis University; Doctoral College, Health Sciences Division, Semmelweis University), Krisztián Horváth (Institute of Preventive Medicine and Public Health, Semmelweis University), Péter Varga (Institute of Preventive Medicine and Public Health, Semmelweis University; Fodor Center for Prevention and Healthy Aging, Semmelweis University; Doctoral College, Health Sciences Division, Semmelweis University), Mónika Fekete (Institute of Preventive Medicine and Public Health, Semmelweis University; Fodor Center for Prevention and Healthy Aging, Semmelweis University)
Nutrients 2025, 17(15), 2446.
https://doi.org/10.3390/nu17152446
A talajról való felállás képességének jelentősége és hatása a funkcionális képességre, az esésrizikóra, valamint a mozgástér nagyságára idős személyek körében
Időskorban az eleséstől való félelem csökkenő fizikai aktivitáshoz, beszűkült mozgástérhez és ezáltal fokozott esésrizikóhoz vezethet. Az eleséstől való félelem kialakulásához hozzájárulhat, ha az idős személy attól tart, nem képes önállóan felállni a földről. A földről felállás tanítására és gyakorlására kialakított Backward Chaining Method (BCM), azaz a lépésről lépésre visszafelé építkező módszer fokozatosan, állásból indítva tanítja meg a földről való felállást: állásból féltérdelésen, térdelésen át jut el a páciens négykézláb, majd félülő helyzetig, ahonnan előbb oldalt, majd hanyatt fekvésbe kerül. Az egyes pozíciókat addig gyakoroltatjuk a pácienssel, amíg már magabiztosan fel tud belőle állni.
Kutatásunkban 26 idősotthoni lakót osztottunk véletlenszerűen két csoportba: a tréning csoport (IG, n=13) hét héten keresztül földről felállás tréningen vett részt a megszokott ellátáson felül, míg a kontrollcsoport (CG, n=13) csak a szokásos ellátást kapta. A tréningprogram elején és végén minden alanynál felmértük a funkcionális mobilitást, az alsó végtag izomerejét, a kéz szorítóerejét, az eleséstől való félelmet és a mozgástér nagyságát. Eredményeink azt mutatták, hogy a tréning után az IG csoportban jelentősen csökkent az eséstől való félelem, és szignifikánsan nőtt mind a teljes, mind az önálló mozgástér a kontrollcsoporthoz képest. Összességében a BCM biztonságos, jól tolerálható módszer idősotthoni környezetben; különösen ígéretes az eséstől való félelem csökkentésében, valamint a mozgástér bővítésében, ezért javasolt lehet a megszokott fizioterápiás beavatkozások közé beépíteni – írta összefoglalójában Kubik Anna Zsófia.
Backward Chaining Method for Teaching Long-Term Care Residents to Stand Up from the Floor: A Pilot Randomized Controlled Trial
Anna Zsófia Kubik (Doctoral College, Semmelweis University, Health Sciences Division; Faculty of Health Sciences, Department of Physiotherapy, Semmelweis University), Zsigmond Gyombolai (Doctoral College, Semmelweis University, Health Sciences Division; Faculty of Health Sciences, Department of Morphology and Physiology, Semmelweis University), András Simon (Faculty of Health Sciences, Department of Physiotherapy, Semmelweis University), Éva Kovács (Faculty of Health Sciences, Department of Morphology and Physiology, Semmelweis University)
J. Clin. Med. 2025, 14(15), 5293. https://doi.org/10.3390/jcm14155293
Gyulladásos bélbetegségben szenvedő serdülők egészségértése és táplálkozása
A gyulladásos bélbetegségek (IBD) kezelésében a gyógyszeres terápia mellett fontos szerepet játszik a páciensek táplálkozása. Ahhoz azonban, hogy a betegek az egészségügyi kontrollok során elhangzottakat értelmezni és a későbbiekben alkalmazni tudják, megfelelő szintű egészségértéssel kell rendelkezniük.
Kutatásunkban IBD-vel élő serdülők táplálkozását, valamint IBD-sek és egészséges kamaszok egészségértését mértük fel. A vizsgált csoport túlnyomó többségének egészségértése megfelelő szintű volt, a fiatalok képesek voltak egy élelmiszercímke információit jól értelmezni. Ugyanakkor kiderült, hogy ez a tudás nem feltétlenül jár együtt kedvezőbb táplálkozási szokásokkal. A mediterrán étrendhez hasonló kiegyensúlyozott táplálkozás követése a legtöbb IBD-s páciensnél gyenge pontnak bizonyult. Fontos hangsúlyozni, hogy az egészségügyi ismeretek mellett személyre szabott, a fiatalok életmódjához igazított táplálkozási tanácsokra van szükség, valamint a nyugalmi szakaszban is nélkülözhetetlen ezen páciensek utánkövetése. Ezáltal biztosítható a jobb életminőség és a hosszabb távú adherencia – írta összefoglalójában Pintér Hajnalka Krisztina.
Health Literacy and Nutrition of Adolescent Patients with Inflammatory Bowel Disease
Hajnalka Krisztina Pintér (School of PhD Studies, Semmelweis University), Viola Anna Nagy (Faculty of Health Sciences, Department of Dietetics and Nutritional Sciences, Semmelweis University), Éva Csajbókné Csobod (Faculty of Health Sciences, Department of Dietetics and Nutritional Sciences, Semmelweis University), Áron Cseh (Pediatric Center, Semmelweis University), Nóra Judit Béres (Pediatric Center, Semmelweis University), Bence Prehoda (Pediatric Center, Semmelweis University), Antal Dezsőfi-Gottl (Pediatric Center, Semmelweis University), Dániel Sándor Veres (Department of Biophysics and Radiation Biology, Semmelweis University), Erzsébet Pálfi (Faculty of Health Sciences, Department of Dietetics and Nutritional Sciences, Semmelweis University)
Nutrients 2025, 17(15), 2458.
https://doi.org/10.3390/nu17152458
EEG-hiperszkennelés – interperszonális folyamatok vizsgálata szkizofrénia-spektrum zavarban
A szkizofrénia egyik jellegzetes tünete a szociális funkciók zavara, amelynek pontos neurobiológiai mechanizmusai mindmáig nem teljesen tisztázottak. Klinikánk kutatócsoportja a Nemzeti Agykutatási Program keretében 128 csatornás EEG-hiperszkenning módszert alkalmazott, amely lehetővé teszi két személy agyi aktivitásának egyidejű vizsgálatát társas interakció közben. A kutatásban szkizofrén betegek és egészséges kontrollok párokban vettek részt: egyikük Go/NoGo feladatot végzett, miközben a másik a saját képernyőjén figyelte, majd szerepet cseréltek. Az elemzés a megfigyelői szerepben a P300 agyi válasz-komponensre fókuszált.
Eredményeink szerint a betegek esetében az első megfigyelői szerepben a P300 amplitúdó alacsonyabbnak bizonyult a kontrollokhoz képest, ugyanakkor amikor másodjára kerültek megfigyelői szerepbe, válaszuk fokozódott, míg a kontrollcsoportban ezzel ellentétesen csökkenés volt megfigyelhető. Adataink rávilágítanak arra, hogy a szkizofrénia spektrumhoz kapcsolódó neurokognitív zavarok társas helyzetekben is kimutathatók. A két csoportban tapasztalt eltérő mintázatok hátterében feltehetően különböző mechanizmusok állnak: egészséges személyeknél a habituáció, míg a betegek esetében többek között a habituáció hiányossága és a társas szituációkban megjelenő kóros jelentőségtulajdonítás – fogalmazott összefoglalójában dr. Fullajtár Máté.
Alterations of NoGo P300 ERP in schizophrenia in social setting: a hyperscanning study
Máté Fullajtár (Semmelweis University, Department of Psychiatry and Psychotherapy), Brigitta Kakuszi (Semmelweis University, Department of Psychiatry and Psychotherapy), István Bitter (Semmelweis University, Department of Psychiatry and Psychotherapy), Pál Czobor (Semmelweis University, Department of Psychiatry and Psychotherapy)
Translational Psychiatry volume 15, Article number: 270 (2025).
DOI: 10.1038/s41398-025-03481-6
A Mentalizált Affektivitás Skála (MAS) magyar változatának faktorszerkezete és pszichometriai sajátosságai: egy keresztmetszeti vizsgálat
Kutatásunk célja az volt, hogy egy, a mentalizált affektivitás mérésére alkalmas nemzetközileg elismert mérőeszközt adaptáljunk. Ez a képesség segít a saját és mások által átélt érzelmek felismerésében, feldolgozásában, azok megfelelő kifejezésében. A Mentalized Affectivity Scale 60 tételből álló eredeti mérőeszközét számos nyelven használják, ugyanakkor az ezeket bemutató publikációk vegyes eredményeket mutatnak annak faktorstruktúrájával kapcsolatban, továbbá többnyire valamilyen rövidítést is alkalmaznak.
Célunk annak vizsgálata volt, hogy magyar mintán igazolni tudjuk-e az eredeti három faktor mellett más kultúrákban zajlott kutatásokban megjelenő további faktorok létét, továbbá hogy méréseinkkel hozzájáruljunk egy, az eredeti skála részletességét megtartó, de a nem megfelelően működő itemek nélküli skála kialakításához. Eredményeink alapján javaslatot tettünk egy 34 tételes rövidített verzió használatára, amely a nemzetközi publikációkban fellelhető tételredukciókhoz illeszkedik, ugyanakkor igazolja az eredeti hármas faktorstruktúrát – írta összefoglalójában dr. Bóné Veronika.
Factor structure and psychometric properties of the Hungarian version of the Mentalized Affectivity Scale (MAS): A cross-sectional study
Veronika Bóné (Institute of Mental Health, Semmelweis University), Éva Kalla (Institute of Mental Health, Semmelweis University; Faculty of Health and Public Services, Pázmány Péter Catholic University), Attila Pilinszki (Institute of Mental Health, Semmelweis University)
PLoS One. 2025 Aug 6;20(8):e0329785
https://doi.org/10.1371/journal.pone.0329785
A CFTR csatorna ritka, cisztás fibrózist okozó mutációinak molekuláris és farmakológiai vizsgálata
A cisztás fibrózis súlyos örökletes betegség, amely a szervezet sóháztartásának zavarával jár, jelentősen rontja az életminőséget, és csökkenti a várható élettartamot. A kórképet a CFTR ioncsatorna mutációi okozzák. Míg a gyakoribb mutációkra már elérhető olyan gyógyszerkombináció (ETI: elexacaftor-tezacaftor-ivacaftor), amely a mutáns fehérjén hatva enyhíti a betegség tüneteit, számos ritka mutáció esetén még nem áll rendelkezésre oki terápia.
Kutatásunk során öt, a magyar populációban is előforduló, ritka patogén mutáció funkcionális hatásait vizsgáltuk. A kóros csatornák érési folyamatát és a sejtmembránba kijutó csatornák működését is elemeztük, valamint felmértük (laboratóriumi körülmények között) az ETI kezelés hatékonyságát e mutációk esetében. Eredményeink szerint az ETI terápia mind az öt vizsgált mutáció esetében jelentősen javítja a csatornák érését és funkcionális aktivitását is, így javasoljuk a gyógyszerkombináció alkalmazási ajánlásának kiterjesztését a vizsgált mutációkra – fogalmazott összefoglalójában dr. Csanády László.
Molecular and pharmacological evaluation of rare, cystic fibrosis-causing missense mutations of the CFTR channel
Olivér Závoti (Department of Biochemistry, Semmelweis University; HCEMM-SE, Molecular Channelopathies Research Group), László Csanády (Department of Biochemistry, Semmelweis University; HCEMM-SE, Molecular Channelopathies Research Group; HUN-REN-SE, Ion Channel Research Group)
J Physiol. 2025 Aug 10.
https://doi.org/10.1113/JP288955
Aktualitások a herevisszér kivizsgálásában és kezelésében
A varicocele – magyarul herevisszér – a férfi meddőség egyik leggyakoribb, de jól kezelhető oka. Lényege, hogy a here körüli vénák kitágulnak, a pangó vér miatt megemelkedik a here hőmérséklete, fokozódik az oxidatív stressz, és romlik a spermiumtermelés. Bár sok férfinél tünetmentes, másoknál herefájdalommal, húzó érzéssel járhat, és gyakran csak meddőségi kivizsgáláskor derül ki.
A 2025-ös kutatások szerint a varicocele hátterében nem csupán mechanikai okok állnak, hanem genetikai és molekuláris tényezők is. A diagnosztika fejlődött: új képalkotó módszerek és laborvizsgálatok (például a spermium DNS-fragmentációja) segítik megítélni a betegség súlyosságát. Kezelés akkor szükséges, ha rossz spermakép, meddőség, fájdalom vagy serdülőkori fejlődési elmaradás jelentkezik. A mikrosebészeti műtét továbbra is a leghatékonyabb, de egyre elterjedtebbek a minimálisan invazív, radiológiai megoldások is. A jövő célja a személyre szabott terápia, amely felesleges műtétek elkerülésével, célzott beavatkozásokkal javítja a férfiak termékenységét – írta összefoglalójában dr. Takács Tamás.
Recent Trends in the Management of Varicocele
Tamás Takács (Centre of Andrology, Department of Urology, Semmelweis University; Centre of Assisted Reproduction, Department of Obstetrics and Gynaecology, Semmelweis University), Anett Szabó (Centre of Andrology, Department of Urology, Semmelweis University; Centre for Translational Medicine, Semmelweis University), Zsolt Kopa (Centre of Andrology, Department of Urology, Semmelweis University; Centre of Assisted Reproduction, Department of Obstetrics and Gynaecology, Semmelweis University; Centre for Translational Medicine, Semmelweis University)
J. Clin. Med. 2025, 14(15), 5445. https://doi.org/10.3390/jcm14155445
Gyökérreszorpció alignerek, önligírozó készülékek és hagyományos rögzített készülékek alkalmazása során: CBCT-alapú metaanalízis
A nemrég megjelent metaanalízis célja, hogy összevesse a különböző fogszabályozó módszerek – hagyományos rögzített készülékek, önligírozó rendszerek és “láthatatlan fogszabályzók” , azaz alignerek – által okozott gyökérfelszívódás mértékét, CBCT-felvételek alapján.
Összesen öt vizsgálat és 334 páciens adatai kerültek elemzésre. Az eredmények szerint mindhárom technika esetében kimutatható volt gyökérhossz-csökkenés, de az átlagos mérték minden esetben <1 mm volt. A csoportok közötti különbségek statisztikailag nem bizonyultak szignifikánsnak. A megfigyelt reszorpció klinikai jelentősége korlátozott, általában nem befolyásolja a fogak hosszú távú prognózisát.
A szerzők hangsúlyozták, hogy az evidencia minősége mérsékelt, a heterogenitás jelentős, és a magas rizikójú páciensekre (pl. korábbi trauma, genetikai prediszpozíció) vonatkozó adatok hiányosak.
Összességében az alignerek és a rögzített készülékek gyökérreszorpció szempontjából hasonló biztonsági profilt mutatnak – fogalmazott összefoglalójában dr. Kreuter Patrik Krisztián.
Root resorption caused by aligners, self-ligating appliances, and conventional fixed appliances: a CBCT-based meta-analysis
Patrik Kreuter (Department of Paediatric Dentistry and Orthodontics, Semmelweis University; Centre for Translational Medicine, Semmelweis University), Kata Sára Haba (Department of Prosthodontics, Semmelweis University; Centre for Translational Medicine, Semmelweis University), Szilvia Kiss-Dala (Centre for Translational Medicine, Semmelweis University; Institute for Translational Medicine, University of Pecs), Petrana Martineková (Centre for Translational Medicine, Semmelweis University), Emese Ábrám (Department of Prosthodontics, Semmelweis University; Centre for Translational Medicine, Semmelweis University), Andrea Bródy (Department of Oral Diagnostics, Semmelweis University; Centre for Translational Medicine, Semmelweis University), Dániel Végh (Department of Prosthodontics, Semmelweis University; Centre for Translational Medicine, Semmelweis University), Péter Hegyi (Centre for Translational Medicine, Semmelweis University; Institute of Pancreatic Diseases, Semmelweis University), Noémi Katinka Rózsa (Department of Paediatric Dentistry and Orthodontics, Semmelweis University; Centre for Translational Medicine, Semmelweis University), Dorottya Bányai (Department of Paediatric Dentistry and Orthodontics, Semmelweis University; Centre for Translational Medicine, Semmelweis University)
BMC Oral Health volume 25, Article number: 1259 (2025).
https://doi.org/10.1186/s12903-025-06639-2
Új CT-technológia segíthet csökkenteni a sugárterhelést az érszűkületes betegek vizsgálatában
Az alsó végtagi érszűkület világszerte több mint 200 millió embert érint. A betegség során a verőerek/artériák beszűkülnek vagy elzáródnak, ami súlyos esetben akár végtagamputációhoz is vezethet. A pontos diagnózis és a kezelés megtervezése érdekében az egyik legfontosabb vizsgálati módszer a CT angiográfia, amely részletes képet ad az erekről. A hagyományos vizsgálat során két felvétel készül: egy kontrasztanyag nélküli (úgynevezett natív), valamint egy kontrasztanyagos sorozat. Ez viszont a beteg számára nagyobb sugárterhelést jelent.
A Semmelweis Egyetem Városmajori Szív- és Érsebészeti Klinikáján elérhető legújabb, kettős energiájú CT készülék azonban képes a kontrasztanyagos felvételekből számítógépes feldolgozással „eltüntetni” a kontrasztanyag hatását, és így létrehozni egy úgynevezett virtuális nem-kontrasztanyagos képet (VNC). Ez a módszer lehetővé teszi, hogy a hagyományos natív felvételre ne legyen szükség, így a beteget kevesebb sugárzás érje. Kutatásunkban azt vizsgáltuk, hogy ezek a virtuális felvételek mennyire közelítik meg a valódi, natív képek minőségét. Eredményeink azt mutatják, hogy a VNC képek ugyanolyan megbízhatóan használhatók a diagnózis felállításában, miközben akár 37 százalékkal csökkenthető a sugárterhelés. Ez az új technológia hozzájárulhat a modern, betegbarát képalkotás fejlődéséhez, és hosszú távon a rutinvizsgálatokban is helyet kaphat – írta összefoglalójában dr. Szablics Fanni és dr. Bérczi Ákos.
Virtual Non-Contrast Reconstructions Derived from Dual-Energy CTA Scans in Peripheral Arterial Disease: Comparison with True Non-Contrast Images and Impact on Radiation Dose
Fanni Éva Szablics (Department of Interventional Radiology, Heart and Vascular Center, Semmelweis University), Ákos Bérczi (Department of Interventional Radiology, Heart and Vascular Center, Semmelweis University), Judit Csőre (Department of Interventional Radiology, Heart and Vascular Center, Semmelweis University), Sarolta Borzsák (Department of Interventional Radiology, Heart and Vascular Center, Semmelweis University), András Szentiványi (Department of Interventional Radiology, Heart and Vascular Center, Semmelweis University), Máté Kiss (Department of Interventional Radiology, Heart and Vascular Center, Semmelweis University; Siemens Healthcare), Georgina Juhász (Department of Interventional Radiology, Heart and Vascular Center, Semmelweis University), Dóra Papp (Department of Interventional Radiology, Heart and Vascular Center, Semmelweis University), Ferenc Imre Suhai (Department of Interventional Radiology, Heart and Vascular Center, Semmelweis University), Csaba Csobay-Novák (Department of Interventional Radiology, Heart and Vascular Center, Semmelweis University)
J. Clin. Med. 2025, 14(15), 5571. https://doi.org/10.3390/jcm14155571
Önmagában sem a nyálmintában kimutatható Fusobacterium nucleatum, sem annak relatív mennyisége nem alkalmas a vastagbélrák szűrésére
A vastagbélrák a harmadik leggyakoribb rákos megbetegedés világszerte és a második leggyakoribb halálok a tumoros betegségben szenvedők körében. A betegség korai felismerése kulcsfontosságú a betegek életkilátásainak javításában. Kutatásunkban azt vizsgáltuk, hogy a nyálban található Fusobacterium nucleatum (Fn) baktérium jelenléte vagy relatív mennyisége alkalmas-e a vastagbélrák korai, fájdalommentes kimutatására.
Irodalmi kutatást és alapos szűrést követően tizenkét tanulmányt elemeztünk részletesen, melyek közül nyolc adatain statisztikai összehasonlítást is végeztünk. Az eredmények azt mutatják, hogy sem az Fn előfordulásában, sem relatív mennyiségében nincs érdemi különbség a vastagbélrákos betegek és az egészséges, illetve vastagbélpolippal rendelkező egyének között. Bár néhány korábbi kutatás szerint a nyálminták vizsgálata segíthet a betegség korai felismerésében, az összesített adatok alapján ez a módszer nem elég megbízható. Tanulmányunk következtetése szerint a nyálban detektálható Fn baktérium önmagában nem alkalmas szűrővizsgálatra, ezért további kutatásokra van szükség, hogy az egyszerűen és olcsón nyerhető nyálminták diagnosztikus célra felhasználhatóak legyenek – fogalmazott összefoglalójában dr. Zsembery Ákos.
The presence and relative abundance of salivary Fusobacterium nucleatum are not associated with colorectal cancer: a systematic review and meta-analysis
Ellay Gutmacher (Centre for Translational Medicine, Semmelweis University), Bálint Zsombor Sárai (Centre for Translational Medicine, Semmelweis University; Department of Public Dental Health, Semmelweis University), Petrana Martineková (Centre for Translational Medicine, Semmelweis University), Szilvia Kiss-Dala (Centre for Translational Medicine, Semmelweis University; Institute for Translational Medicine, Medical School, University of Pécs), Gergely Agócs (Centre for Translational Medicine, Semmelweis University; Department of Biophysics and Radiation Biology, Semmelweis University), Péter Hegyi (Centre for Translational Medicine, Semmelweis University; Institute of Pancreatic Diseases, Semmelweis University; Institute for Translational Medicine, Medical School, University of Pécs), Andrea Bródy (Centre for Translational Medicine, Semmelweis University; Department of Oral Diagnostics, Semmelweis University), Ákos Zsembery (Centre for Translational Medicine, Semmelweis University; Department of Oral Biology, Faculty of Dentistry, Semmelweis University)
Scientific Reports volume 15, Article number: 24815 (2025).
https://doi.org/10.1038/s41598-025-07465-w
Az esszenciális tremor prevalenciája és terápiája Magyarországon 2010-2020 között
Az esszenciális tremor a leggyakoribb mozgászavar felnőttkorban. Jellemzője mindkét kéz remegése akaratlagos, célzott mozgás közben (pl. evés, ivás), de a fej, hang remegése is társulhat hozzá. Vizsgálatunkban felmértük a betegség prevalenciáját Magyarországon 2010 és 2020 között, és kiértékeltük az egyénileg alkalmazott terápiás szokásokat. Az Országos Egészségbiztosítási Pénztár/ Nemzeti Egészségbiztosítási Alapkezelő és a központi, gyógyszerkiváltási adatbázist használtuk.
Az európai standard népességhez életkor szerint standardizált prevalencia értéke 378-388/100,000 lakos volt. A betegek 36,4 százaléka nem szedett gyógyszert a vizsgálati időszakban. A legtöbben alprazolam-ot, kevesebben propranololt használtak a leghosszabb ideig, kombinációban is a két gyógyszert szedték legtöbben. A betegek mindössze 0,5 százalékát kezelték idegsebészeti beavatkozással (léziós műtét, mély agyi stimuláció). A gyógyszerek alkalmazását a korlátozott hatékonyságuk és mellékhatásaik nehezítik; a hatékonyabb idegsebészeti beavatkozások kiterjesztése, fejlesztése javíthatja a betegek életminőségét – írta összefoglalójában dr. Tamás Gertrúd.
Prevalence estimation of essential tremor in Hungary between 2010 and 2020 based on the National Health Insurance Fund Database
Andrea Kinga Papp (Department of Neurology, Semmelweis University), Ádám József Berki (Department of Neurology, Semmelweis University), Péter Vinnai (HUN-REN SU Neuroepidemiological Research Group), András Ajtay (Department of Neurology, Semmelweis University; HUN-REN SU Neuroepidemiological Research Group), Dániel Bereczki (Department of Neurology, Semmelweis University; HUN-REN SU Neuroepidemiological Research Group), Loránd Erőss (Department of Neurosurgery and Neurointervention, Semmelweis University), Gertrúd Tamás (Department of Neurology, Semmelweis University)
Scientific Reports volume 15, Article number: 28560 (2025).
https://doi.org/10.1038/s41598-025-13145-6
A sztatinkezelés optimalizálása időskorban: szisztematikus áttekintés az adagolásról, dózisemelésről és kombinációs stratégiákról
Szisztematikus irodalomelemzésünk 566 509 beteg adatainak feldolgozásával vizsgálta meg a sztatinok optimális alkalmazását 65 év feletti páciensek körében. A sztatinok olyan koleszterinszint-csökkentő gyógyszerek, amelyek kulcsszerepet játszanak a szív- és érrendszeri betegségek megelőzésében. Eredményeink alapján a sztatinok idősebb korban is hatékonyan csökkentik a szív- és érrendszeri kockázatot. Kiemelten fontos megállapítás, hogy a kezelés dózisának fokozatos emelése, valamint az ezetimibbel történő kombináció még kedvezőbb eredményeket hozhat anélkül, hogy növekedne a mellékhatások kockázata.
Az időskori gyógyszeres kezelésben elengedhetetlen az egyénre szabott megközelítés: a dózis beállításánál figyelembe kell venni a beteg általános egészségi állapotát, társbetegségeit és az alkalmazott egyéb gyógyszereket. A terápiahűség fenntartása is kulcsfontosságú – még az alacsony dózisú sztatinkezelés is kedvezőbb, mint a gyógyszer teljes elhagyása.75 év felett különösen fontos a körültekintő mérlegelés: a kezelés megkezdésekor figyelembe kell venni a várható élettartamot, a beteg sérülékenységét és egyéni preferenciáit. A beteg és orvos közötti közös döntéshozatal elengedhetetlen a sikeres kezeléshez. Összességében elmondható, hogy a sztatinok időskorban is biztonságosan és hatékonyan alkalmazhatók – megfelelően megválasztott dózisban, kombinációban, és a beteg igényeit is szem előtt tartva – írta összefoglalójában dr. Zelkó Romána.
Optimizing Statin Therapy in Older Adults: A Systematic Review of Dosing, Titration, and Combination Strategies
Anna Artner (Center of Pharmacology and Drug Research & Development, Semmelweis University; University Pharmacy Department of Pharmacy Administration, Semmelweis University), Romána Zelkó (Center of Pharmacology and Drug Research & Development, Semmelweis University; University Pharmacy Department of Pharmacy Administration, Semmelweis University), Balázs Hankó (Center of Pharmacology and Drug Research & Development, Semmelweis University; University Pharmacy Department of Pharmacy Administration, Semmelweis University)
GeroScience (2025).
https://doi.org/10.1007/s11357-025-01772-w
Koraszülés és alacsony születési súly az élelmiszerbiztonság tekintetében:egy összehasonlító vizsgálat tapasztalatai az indonéziai Surabaya-ban
Jelen közlemény legfontosabb célkitűzése az volt, hogy a koraszülés, az alacsony születési súly, valamint az élelmiszerbiztonság összefüggéseit vizsgálja kérdőíves, keresztmetszeti felmérés során, 36–59 hónapos gyermekeket nevelő anyák körében (N=657) Indonézia második legnagyobb városában, Surabaya-ban.
Noha a kutatás eredményei szerint a koraszülés nem mutatott szignifikáns összefüggést a felmért háztartások élelmiszerbiztonsági kockázatával, az anyák iskolázottsága, foglalkoztatottsága és jövedelme egyértelműen összefüggésbe hozható volt ezzel. A kutatás egyik meglepő, nem várt eredménye szerint az alacsony élelmiszerbiztonságú háztartásokban élő gyermekek esetében alacsonyabb volt az alacsony születési súly kockázata, mely további vizsgálatok elvégzését indokolja. Bár az élelmiszer-biztonság és a koraszülés között nem volt közvetlen összefüggés kimutatható, azonban az élelmiszer-biztonság és a felmérésben részt vett, kisgyermeket nevelő anyák szocioökonómiai státusza közötti kapcsolat nyilvánvaló. Az eredmények arra utalnak – bár ilyen irányú vizsgálat nem történt – , hogy a várandóság alatt nyújtott extra intervenciós beavatkozások (pl. táplálkozási tanácsadás, élelmiszer- és pénzügyi segélyek) csökkentik az alacsony születési súly potenciális kockázatát, mely hozzájárul a terhesség alatti élelmiszer-biztonsági kockázat negatív hatásainak enyhítéséhez – fogalmazott összefoglalójában dr. Feith Helga Judit.
Prematurity and Low Birth Weight Among Food-Secure and Food-Insecure Households: A Comparative Study in Surabaya, Indonesia
Arie Dwi Alristina (Health Sciences Division, Doctoral College, Semmelweis University; Nutrition Department, Sekolah Tinggi Ilmu Kesehatan Hang Tuah Surabaya), Nour Mahrouseh (Department of Public Health and Epidemiology, Faculty of Medicine, University of Debrecen), Anggi Septia Irawan (Institute of Behavioral Sciences, Faculty of Medicine, Semmelweis University), Rizky Dzariyani Laili (Nutrition Department, Sekolah Tinggi Ilmu Kesehatan Hang Tuah Surabaya), Alexandra Vivien Zimonyi-Bakó (Institute of Languages for Specific Purposes, Semmelweis University), Helga Judit Feith (Department of Social Sciences, Faculty of Health Sciences, Semmelweis University)
Nutrients 2025, 17(15), 2479.
https://doi.org/10.3390/nu17152479
Az inflammaszóma komponensek többszervi karakterizációja az előrehaladott szívelégtelenség patkánymodelljében
Újabb kutatások feltárták, hogy szívelégtelenségben a veleszületett immunitás részét képező inflammaszóma-rendszer komponensei aktiválódnak a szívizomszövetben. A szívelégtelenség súlyosabb stádiumaiban ugyanakkor a szervezet egészét érintő többszervi elégtelenség alakul ki. Jelen kísérletünkben az inflammaszóma-rendszer fehérjéinek egyéb szervekben való jelenlétét tanulmányoztuk a szívelégtelenség előrehaladott formájában.
Patkányokban az aortaív műtéti beszűkítésével fokozott nyomásterhelést idéztünk elő, amely idővel szívelégtelenséghez vezet. A műtétre adott reakciójukat tekintve enyhe és súlyos szívelégtelen állatcsoportokat, valamint áloperált kontrollokat vizsgáltunk. A döntően bal szívkamrát érintő kórállapot ellenére mindkét kamrában fokozott expresszióját mértük az inflammaszóma-fehérjéknek, de csak a súlyosan szívelégtelen állatokban. A tüdőben hasonló eredményre jutottunk, de a komponensek eltérő mintázatot mutattak a szívétől. A vesében ezzel szemben nem találtunk változásokat, míg a májban paradox módon csökkent egyes inflammaszóma-komponensek mennyisége – írták összefoglalójukban dr. Nagy Dávid és dr. Ruppert Mihály.
Multiorgan characterization of inflammasome component expression in a rat model of advanced heart failure
Dávid Nagy (Department of Cardiology, Heart and Vascular Center, Semmelweis University; Department of Experimental Cardiology and Surgical Techniques, Heart and Vascular Center, Semmelweis University), Zsófia Onódi (Department of Pharmacology and Pharmacotherapy, Center for Pharmacology and Drug Research and Development, Semmelweis University; HCEMM-SU Cardiometabolic Immunology Research Group; MTA-SE Momentum Cardio-Oncology and Cardioimmunology Research Group, Semmelweis University), Márton Kocsis (Department of Pharmacology and Pharmacotherapy, Center for Pharmacology and Drug Research and Development, Semmelweis University; HCEMM-SU Cardiometabolic Immunology Research Group; MTA-SE Momentum Cardio-Oncology and Cardioimmunology Research Group, Semmelweis University), Artúr Tóth (Department of Pharmacology and Pharmacotherapy, Center for Pharmacology and Drug Research and Development, Semmelweis University; HCEMM-SU Cardiometabolic Immunology Research Group; MTA-SE Momentum Cardio-Oncology and Cardioimmunology Research Group, Semmelweis University), Tímea Bálint (Department of Cardiology, Heart and Vascular Center, Semmelweis University; Department of Experimental Cardiology and Surgical Techniques, Heart and Vascular Center, Semmelweis University), Attila Oláh (Department of Cardiology, Heart and Vascular Center, Semmelweis University; Department of Experimental Cardiology and Surgical Techniques, Heart and Vascular Center, Semmelweis University), Alex Ali Sayour (Department of Cardiology, Heart and Vascular Center, Semmelweis University; Department of Experimental Cardiology and Surgical Techniques, Heart and Vascular Center, Semmelweis University), Bálint András Barta (Department of Cardiology, Heart and Vascular Center, Semmelweis University; Department of Experimental Cardiology and Surgical Techniques, Heart and Vascular Center, Semmelweis University), Béla Merkely (Department of Cardiology, Heart and Vascular Center, Semmelweis University), Péter Ferdinandy (Department of Pharmacology and Pharmacotherapy, Center for Pharmacology and Drug Research and Development, Semmelweis University; Pharmahungary Group), Tamás Radovits (Department of Cardiology, Heart and Vascular Center, Semmelweis University; Department of Experimental Cardiology and Surgical Techniques, Heart and Vascular Center, Semmelweis University), Zoltán V. Varga (Department of Pharmacology and Pharmacotherapy, Center for Pharmacology and Drug Research and Development, Semmelweis University; HCEMM-SU Cardiometabolic Immunology Research Group; MTA-SE Momentum Cardio-Oncology and Cardioimmunology Research Group, Semmelweis University), Mihály Ruppert (Department of Cardiology, Heart and Vascular Center, Semmelweis University; Department of Experimental Cardiology and Surgical Techniques, Heart and Vascular Center, Semmelweis University)
ESC Heart FailureVolume 12, Issue 5 pp. 3601-3613.
https://doi.org/10.1002/ehf2.15362
BioGoldNCDB: Arany nanoklaszterek és rokon, farmakológiai aktivitással rendelkező nanorészecskék adatbázisa
A daganatos megbetegedések diagnosztikai és terápiás fejlesztéseiben kiemelkedő jelentőségűek az extrém kisméretű (< 2 nm), kedvező biokompatibilitású és alacsony toxicitású fluoreszcens arany nanoklaszterek (AuNC). Ezek egyedi tulajdonságaik révén sokkal specifikusabban és hatékonyabban lépnek kölcsönhatásba biológiai rendszerekkel. Továbbá, könnyen módosítható felszínük és az aranyatomokból eredő sugárérzékenyítő hatásuk lehetővé teszi, hogy az AuNC-ek ígéretes jelöltek legyenek nemcsak az in vitro és in vivo fluoreszcens képalkotó eljárásokban, hanem a daganatos megbetegedések diagnózisát és terápiáját integráló teranosztikai alkalmazásokban is.
A létrehozott BioGoldNCDB jelenleg 247 cikket tartalmaz 104 folyóiratból, minden eszközön (PC, tablet, telefon) elérhető felületet kínál, szűrőkkel és súgóoldallal. Az adatbázis gyors áttekintést nyújt a kezdőknek, míg a haladó kutatók számára átfogó forrást biztosít az AuNC-k tulajdonságairól és farmakológiai lehetőségeiről – írta összefoglalójában dr. Mándity István.
BioGoldNCDB: A Database of Gold Nanoclusters and Related Nanoparticles with Biomedical Activity
Eszter Erdei (Institute of Organic Chemistry, Semmelweis University; Artificial Transporter Research Group, Institute of Materials and Environmental Chemistry, HUN-REN Research Centre for Natural Sciences; Center for Pharmacology and Drug Research & Development, Semmelweis University), András Mándoki (Institute of Organic Chemistry, Semmelweis University; Artificial Transporter Research Group, Institute of Materials and Environmental Chemistry, HUN-REN Research Centre for Natural Sciences; Center for Pharmacology and Drug Research & Development, Semmelweis University), Andrea Deák (Artificial Transporter Research Group, Institute of Materials and Environmental Chemistry, HUN-REN Research Centre for Natural Sciences), Balázs Balogh (Institute of Organic Chemistry, Semmelweis University; Center for Pharmacology and Drug Research & Development, Semmelweis University), László Molnár (Artificial Transporter Research Group, Institute of Materials and Environmental Chemistry, HUN-REN Research Centre for Natural Sciences; Solid Science Ltd.), István M. Mándity (Institute of Organic Chemistry, Semmelweis University; Artificial Transporter Research Group, Institute of Materials and Environmental Chemistry, HUN-REN Research Centre for Natural Sciences; Center for Pharmacology and Drug Research & Development, Semmelweis University)
Molecules 2025, 30(15), 3310.
https://doi.org/10.3390/molecules30153310
Vitiligo és daganatrizikó kapcsolatának szisztematikus vizsgálata
A vitiligo egy autoimmun bőrbetegség, amelyben a pigmentsejtek immunsejtek mediálta pusztulása miatt jellegzetes pigmenthiányos foltok alakulnak ki. Egyrészt felmerül, hogy az immunsejtek pigmentsejtek elleni aktivitása csökkentheti a pigmentsejt eredetű melanoma kialakulását, azonban a pigmenthiányos területek UV elleni védekezőképessége csökkenhet, mely fokozott bőrdaganat rizikót hordozhat magában. Ezért egy érdekes klinikai kérdés, hogy a vitiligo fokozza vagy éppen csökkenti a daganatos bőrbetegségek kockázatát.
A jelen vizsgálatunkban több mint hárommillió betegadat feldolgozása alapján nem találtunk szignifikáns összefüggést a vitiligo és a melanoma, a nem-melanoma bőrrákok vagy a nem bőreredetű lymphoma előfordulása között. Egyes európai népcsoportokban védőhatásra utaló tendenciát figyeltünk meg, feltehetőleg a vitiligós betegek fokozott napfénykerülő viselkedése miatt, mivel így a napozást követő barnulás nem növeli a tünetek láthatóságát. Azonban ezen hatás nem volt megfigyelhető pl. ázsiai populációkban, ahol a napfénykerülő magatartás a normálpopulációban is gyakrabban megfigyelhető. Továbbá a nem-bőreredetű lymphomák előfordulása sem különbözött vitiligos populációkban egészséges kontrollokhoz képest. Ismeretes, hogy a vitiligo terápiában több országban nemrég bevezetett JAK gátlóknál az immunrendszer gátlása miatt fokozott daganatrizikó figyelhető meg. Eredményeink alapján így JAK gátlószerek adásánál sem kell számolni átlagosnál magasabb tumor rizikóval ezen betegcsoportokban. Azonban a különböző populációkban (pl. eltérő genetikai háttér, napozási szokások) eltérő lehet a rizikó, emiatt további, nagy esetszámú, multicentrikus vizsgálatok szükségesek a pontos daganat kockázatbecsléshez – írták összefoglalójukban dr. Kemény Lajos Vince és dr. Kurgyis Zsuzsanna.
Cancer Risk in Vitiligo: No Evidence of Increased Prevalence—A Systematic Review and Meta-analysis
Alzahra A. Mohammed (Department of Dermatology, Venereology and Dermatooncology, Faculty of Medicine, Semmelweis University; Centre for Translational Medicine, Semmelweis University; HCEMM-SU Translational Dermatology Research Group, Semmelweis University), Anna S. Lengyel (Department of Dermatology, Venereology and Dermatooncology, Faculty of Medicine, Semmelweis University; Centre for Translational Medicine, Semmelweis University; HCEMM-SU Translational Dermatology Research Group, Semmelweis University), Fanni A. Meznerics (Department of Dermatology, Venereology and Dermatooncology, Faculty of Medicine, Semmelweis University; Centre for Translational Medicine, Semmelweis University), István Szondy (Department of Dermatology, Venereology and Dermatooncology, Faculty of Medicine, Semmelweis University; Centre for Translational Medicine, Semmelweis University), Anna Walter (Institute for Translational Medicine, Medical School, University of Pécs), Benedek Nagy (HCEMM-SU Translational Dermatology Research Group, Semmelweis University), Zsófia Csábi (HCEMM-SU Translational Dermatology Research Group, Semmelweis University), András Bánvölgyi (Department of Dermatology, Venereology and Dermatooncology, Faculty of Medicine, Semmelweis University, Budapest; Centre for Translational Medicine, Semmelweis University), Norbert Kiss (Department of Dermatology, Venereology and Dermatooncology, Faculty of Medicine, Semmelweis University; Centre for Translational Medicine, Semmelweis University), Péter Hegyi (Centre for Translational Medicine, Semmelweis University; Institute for Translational Medicine, Medical School, University of Pécs; Institute of Pancreatic Diseases, Semmelweis University), Zsuzsanna Kurgyis (HCEMM-SU Translational Dermatology Research Group, Semmelweis University; Department of Dermatology and Allergology, Technical University of Munich), Lajos V. Kemény (Department of Dermatology, Venereology and Dermatooncology, Faculty of Medicine, Semmelweis University; Centre for Translational Medicine, Semmelweis University; HCEMM-SU Translational Dermatology Research Group, Semmelweis University; Department of Physiology, Semmelweis University; MTA-SE Lendület “Momentum” Dermatology Research Group, Hungarian Academy of Sciences and Semmelweis University)
Dermatology and Therapy, Volume 15, pages 3009–3024, (2025).
DOI: 10.1007/s13555-025-01520-0
Tér- és időbeli szabályozás a farmakológiában: fénnyel szabályozható peptidek és foldamerek
A fotofarmakológia a fény és a gyógyszerkutatás ötvözete, amely lehetővé teszi a biológiai folyamatok rendkívül pontos, akár sejtszintű szabályozását. Lényege, hogy fény segítségével „kapcsoljuk be vagy ki” a gyógyszermolekulákat, így azok csak ott és akkor hatnak, ahol és amikor szükség van rájuk. Ehhez speciális fényérzékeny peptideket és mesterséges fehérjemodelleket (foldamereket) alkalmaznak, amelyek alakjukat fény hatására megváltoztatják, ezzel váltogatva aktív és inaktív állapotukat. Ez a módszer óriási előnyöket kínál a célzott gyógyszerbevitelben, az érzékeny molekuláris szenzorok fejlesztésében, valamint „okos” anyagtudományi alkalmazások és orvosi eszközök létrehozásában.
Bár a technológia még fejlesztés alatt áll, és számos kihívás (például a stabilitás és a biológiai környezetben való megbízhatóság) megoldásra vár, a gyorsan fejlődő fényalapú és nanotechnológiai eszközök révén a fotofarmakológia a jövő gyógyszereit és diagnosztikai eszközeit alapjaiban változtathatja meg – írta összefoglalójában dr. Mándity István.
Spatiotemporal control in biomedicine: photoswitchable peptides and foldamers
Eszter Erdei (TTK Lendület Artificial Transporter Research Group, Institute of Materials and Environmental Chemistry, HUN-REN Research Centre for Natural Sciences; Institute of Organic Chemistry, Faculty of Pharmacy, Semmelweis University; Center for Pharmacology and Drug Research & Development, Semmelweis University), Juan Toledo Marcos (Division of Medical Physics and Biophysics, Gottfried Schatz Research Center, Medical University of Graz; Laboratory of Computer-Aided Molecular Design, Division of Medicinal Chemistry, Otto Loewi Research Center, Medical University of Graz), Nikolett Varró (TTK Lendület Artificial Transporter Research Group, Institute of Materials and Environmental Chemistry, HUN-REN Research Centre for Natural Sciences; Institute of Organic Chemistry, Faculty of Pharmacy, Semmelweis University; Center for Pharmacology and Drug Research & Development, Semmelweis University), Kata Horváti (MTA–HUN-REN TTK Lendület ‘Momentum’ Peptide-Based Vaccines Research Group, Institute of Materials and Environmental Chemistry, HUN-REN Research Centre for Natural Sciences), Bernadett Bacsa (Division of Medical Physics and Biophysics, Gottfried Schatz Research Center, Medical University of Graz), István M. Mándity (TTK Lendület Artificial Transporter Research Group, Institute of Materials and Environmental Chemistry, HUN-REN Research Centre for Natural Sciences; Institute of Organic Chemistry, Faculty of Pharmacy, Semmelweis University; Center for Pharmacology and Drug Research & Development, Semmelweis University)
British Journal of PharmacologyVolume 182, Issue 19 pp. 4458-4465.
https://doi.org/10.1111/bph.70163
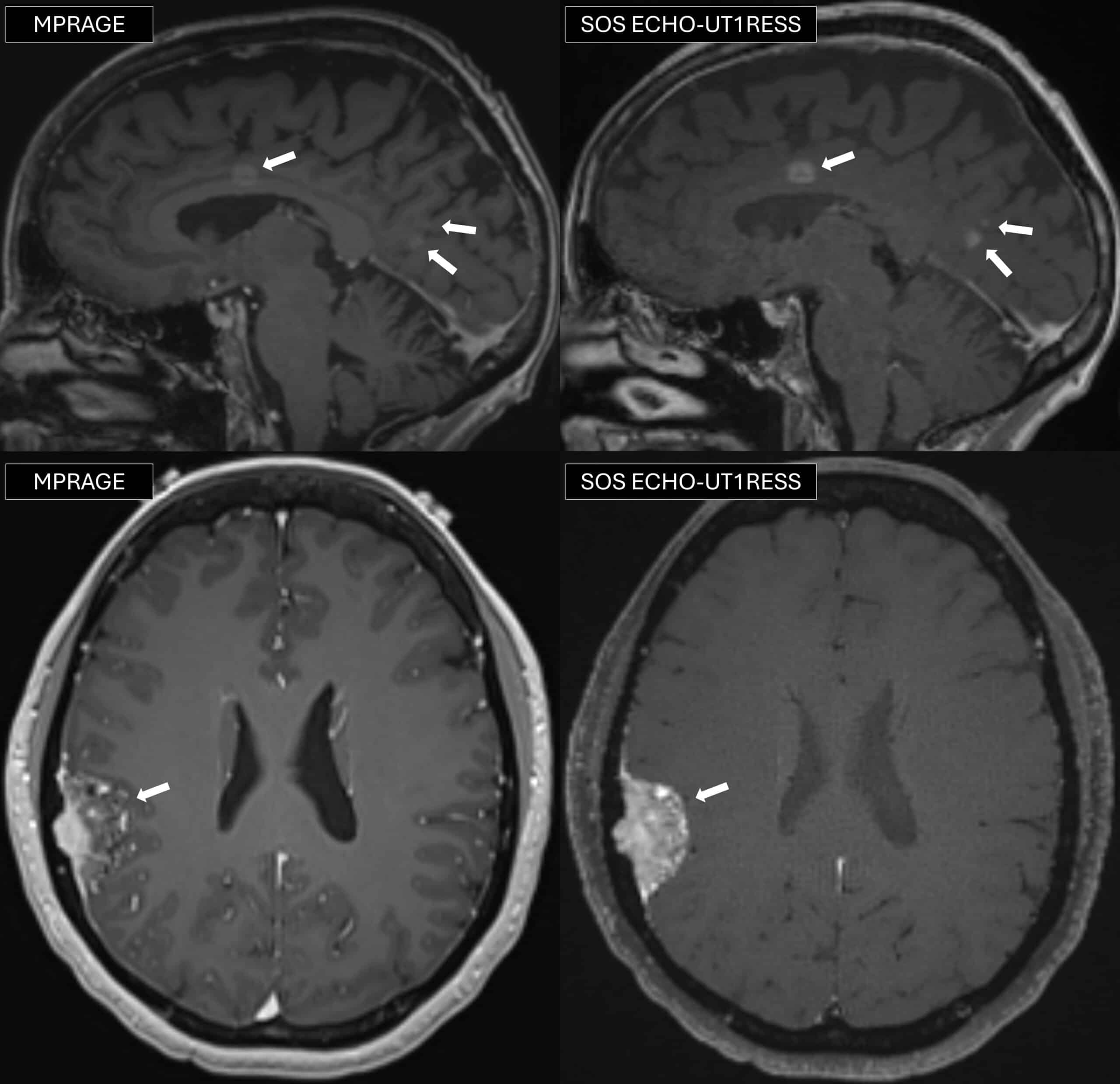
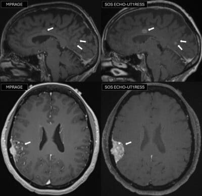
Innovatív MRI-technika lehetőségei az agydaganatok pontosabb kimutatásában
Az agydaganatok pontos kimutatásában a kontrasztanyagos mágneses rezonancia vizsgálat (MRI) kiemelt szerepet játszik. A klinikai gyakorlatban leggyakrabban alkalmazott MPRAGE szekvencia jól ábrázolja a daganatokat, ugyanakkor bizonyos esetekben – például apró áttétek felismerésénél – lehetnek korlátai.
Kutatásunkban egy kísérleti módszert, a SOS echo-uT1RESS szekvenciát vizsgáltuk, és hasonlítottuk össze a klinikai gyakorlatban használt hagyományos eljárással. Eredményeink szerint az új technika közel kétszeres javulást biztosít a daganat és az egészséges agyszövet elkülönítésében, ami különösen a kisméretű elváltozások jobb láthatóságát eredményezte. Fontos, hogy mindez a képminőség romlása nélkül valósult meg, ami arra utal, hogy a SOS echo-uT1RESS ígéretes eszköz lehet az agydaganatok korszerű és pontosabb diagnosztikájában. A vizsgálat két Egyesült Államok-beli centrum közös kutatásaként valósult meg, a National Institutes of Health (NIH) támogatásával – írta összefoglalójában dr. Tóth Adrienn és dr. Varga-Szemes Ákos.
3 Tesla stack-of-stars echo unbalanced T1 relaxation-enhanced steady-state MRI for brain tumor imaging: post-contrast comparison with MPRAGE
Adrienn Tóth (Department of Radiology and Radiological Science, Medical University of South Carolina; Medical Imaging Centre, Semmelweis University), Robert R. Edelman (Department of Radiology, NorthShore University Health System; Department of Radiology, Feinberg School of Medicine, Northwestern University), Dmitrij Kravchenko (Department of Radiology and Radiological Science, Medical University of South Carolina), Justin A. Chetta (Department of Radiology and Radiological Science, Medical University of South Carolina), Jennifer Joyce (Department of Radiology and Radiological Science, Medical University of South Carolina), James Ira Griggers (Department of Radiology and Radiological Science, Medical University of South Carolina), Ruoxun Zi (The Bernard and Irene Schwartz Center for Biomedical Imaging, Department of Radiology, New York University Grossman School of Medicine), Kai Tobias Block (The Bernard and Irene Schwartz Center for Biomedical Imaging, Department of Radiology, New York University Grossman School of Medicine), M. Vittoria Spampinato (Department of Radiology and Radiological Science, Medical University of South Carolina), Akos Varga-Szemes (Department of Radiology and Radiological Science, Medical University of South Carolina; Medical Imaging Centre, Semmelweis University)
Cancer Imaging volume 25, Article number: 101 (2025).
https://doi.org/10.1186/s40644-025-00924-7
FDA- és EMA-által jóváhagyott nem invazív képalkotó technikák a bazálsejtes karcinóma altípusainak meghatározására
A bazálsejtes karcinóma (BCC) a leggyakoribb bőrrák. Többféle típusa van: egyesek kevésbé veszélyesek, mások viszont hajlamosabbak a kiújulásra és mélyebbre terjedhetnek a bőrben. A pontos típus meghatározása ezért nagyon fontos a megfelelő kezelés kiválasztásához. Jelenleg ehhez legtöbbször szövettani mintavétel (biopszia) szükséges, amihez kis darabot kell kimetszeni a bőrből.
Kutatásunkban azt vizsgáltuk, hogy a modern, fájdalommentes képalkotó vizsgálatok mennyire tudják helyettesíteni vagy kiegészíteni a szövettant. Eredményeink alapján ezek közül több módszer is ígéretes: némelyik szinte olyan pontosan meg tudja állapítani a daganat típusát, mint a szövettan. Ez a jövőben segíthet abban, hogy a betegek kevesebb beavatkozással, gyorsabban és kíméletesebben jussanak a számukra legmegfelelőbb kezeléshez – írta összefoglalójában dr. Kiss Norbert.
FDA and EMA-approved noninvasive imaging techniques for basal cell carcinoma subtyping: A systematic review
Mehdi Boostani MD (Department of Dermatology, Roswell Park Comprehensive Cancer Center; Department of Dermatology, Venereology and Dermatooncology, Semmelweis University), Giovanni Pellacani MD, PhD (Department of Dermatology, Sapienza University of Rome), Ximena Wortsman MD (Department of Dermatology, Faculty of Medicine, Universidad de Chile; Department of Dermatology and Cutaneous Surgery, Miller School of Medicine, University of Miami), Mariano Suppa MD, PhD (Groupe d’Imagerie Cutanée Non-Invasive <GICNI> of the Société Française de Dermatologie <SFD>; Department of Dermatology, Hôpital Erasme, Université Libre de Bruxelles; Department of Dermatology, Institut Jules Bordet, Université Libre de Bruxelles), Mohamad Goldust MD (Department of Dermatology, Yale University School of Medicine), Carmen Cantisani MD, PhD (Department of Dermatology, Sapienza University of Rome), Paweł Pietkiewicz MD, PhD (Centrum Medyczne Zwierzyniecka; Unitelematica Leonardo da Vinci), Kende Lőrincz MD, PhD (Department of Dermatology, Venereology and Dermatooncology, Semmelweis University), András Bánvölgyi MD, PhD (Department of Dermatology, Venereology and Dermatooncology, Semmelweis University), Norbert M. Wikonkál MD, PhD (Department of Dermatology, Venereology and Dermatooncology, Semmelweis University; Central Hospital of Northern Pest–Military Hospital), Wendy J. Huss PhD (Department of Dermatology, Roswell Park Comprehensive Cancer Center), Kamran Avanaki MS, PhD (Richard and Loan Hill Department of Biomedical Engineering, University of Illinois at Chicago; Department of Dermatology, University of Illinois at Chicago), Gyorgy Paragh MD, PhD (Department of Dermatology, Roswell Park Comprehensive Cancer Center), Norbert Kiss MD, PhD (Department of Dermatology, Venereology and Dermatooncology, Semmelweis University)
JAAD International Volume 21, August 2025, Pages 73-86.
https://doi.org/10.1016/j.jdin.2025.05.006
Mesterséges intelligencia az alapellátásban: szisztematikus áttekintés
Az alapellátás döntő szerepet játszik a folyamatos egészségügyi ellátás biztosításában, de egyre nagyobb nyomás nehezedik rá a személyzethiány, az adminisztratív feladatok és a krónikus betegségek növekvő terhe miatt. Ezen problémák áthidalására a mesterséges intelligencia (MI) alapú szoftverek bevezetése segítséget nyújthat.
A rendszerszintű áttekintésünk 73 tanulmányt elemezett, amelyekben MI alapú eszközökkel folytatott kutatások zajlottak az alapellátásban. Számos eszköz kiemelkedő technikai teljesítményt mutatott, különösen a rák, a szívbetegségek, a cukorbetegség szövődményei és a szemészeti betegségek felismerésében. Rutin használatukat azonban olyan kérdések korlátozták, mint a használhatóság, a bizalom hiánya, a költségek és a munkafolyamatokba való integrálhatóság. A bizonyítékok arra utalnak, hogy a MI valódi potenciállal rendelkezik az alapellátás támogatásában, ha azt megfelelően tervezik, és ha kiegészíti, nem pedig helyettesíti az ellátás központi elemét képező személyes kapcsolatot – fogalmazott összefoglalójában dr. Katonai Gellért.
AI and Primary Care: Scoping Review
Gellert Katonai (Kálmán Laki Doctoral School of Biomedical and Clinical Sciences, University of Debrecen; Department of Family Medicine, Semmelweis University; The Medical Futurist Institute),
Nora Arvai (Kálmán Laki Doctoral School of Biomedical and Clinical Sciences, University of Debrecen; The Medical Futurist Institute; Meducation Hungary Kft), Bertalan Mesko (Kálmán Laki Doctoral School of Biomedical and Clinical Sciences, University of Debrecen; The Medical Futurist Institute)
J Med Internet Res 2025;27:e65950
doi: 10.2196/65950
Az energiában gazdag táplálék és a cukor fogyasztása kontroll személyekben és depressziósokban is együtt jár a rossz kedvvel
A közlemény az anhedónia, depresszió és a táplálkozás kapcsolatával foglalkozik. Azt is megvizsgáltuk, hogy az egészséges személyek rossz hangulata és cukorfogyasztása, energiabevitele közötti van-e kapcsolat. Az anhedónia – vagyis örömtelenség – a depresszió és a rossz hangulat egyik tünete. Akárcsak a depresszió többi tünete, enyhébb formában jelen lehet az egészséges személyekben is.
A vizsgálatban több százezer ember adatai alapján igen erős pozitív összefüggés áll fenn az anhedónia és depresszió mértéke és a legtöbb kémiai szempontból különböző cukorféleség (pl. répacukor, tejcukor) fogyasztásának mennyisége között. Minél rosszabb a hangulat, vagyis magasabb az anhedónia és depresszió pontszám, annál magasabb a cukor és energia fogyasztás. Ez az összefüggés nemcsak a depresszióban szenvedő személyekre igaz, hanem azokra is, akik tünetei jóval enyhébbek. Az eredmények arra hívják fel a figyelmet, hogy az elhízás a tartósan fennálló rossz hangulat következménye is lehet – írta összefoglalójában dr. Bagdy György László.
Consumption of High-Energy Food and Sugar Shows a Strong Positive Association with Low Mood in Control Subjects and Depressed Patients
Tabita Dobai (Department of Pharmacodynamics, Faculty of Pharmaceutical Sciences, Semmelweis University; Center of Pharmacology and Drug Research & Development, Semmelweis University), Daniel Baksa (Department of Pharmacodynamics, Faculty of Pharmaceutical Sciences, Semmelweis University; Center of Pharmacology and Drug Research & Development, Semmelweis University; Department of Personality and Clinical Psychology, Institute of Psychology, Faculty of Humanities and Social Sciences, Pazmany Peter Catholic University; NAP3.0-SE Neuropsychopharmacology Research Group, Hungarian Brain Research Program, Semmelweis University), Xenia Gonda (Department of Pharmacodynamics, Faculty of Pharmaceutical Sciences, Semmelweis University; Center of Pharmacology and Drug Research & Development, Semmelweis University; NAP3.0-SE Neuropsychopharmacology Research Group, Hungarian Brain Research Program, Semmelweis University; Department of Psychiatry and Psychotherapy, Semmelweis University; Department of Clinical Psychology, Semmelweis University), Gabriella Juhasz (
Department of Pharmacodynamics, Faculty of Pharmaceutical Sciences, Semmelweis University; Center of Pharmacology and Drug Research & Development, Semmelweis University), Nora Eszlari (Department of Pharmacodynamics, Faculty of Pharmaceutical Sciences, Semmelweis University; Center of Pharmacology and Drug Research & Development, Semmelweis University; NAP3.0-SE Neuropsychopharmacology Research Group, Hungarian Brain Research Program, Semmelweis University), Gyorgy Bagdy (Department of Pharmacodynamics, Faculty of Pharmaceutical Sciences, Semmelweis University; Center of Pharmacology and Drug Research & Development, Semmelweis University; NAP3.0-SE Neuropsychopharmacology Research Group, Hungarian Brain Research Program, Semmelweis University)
Nutrients 2025, 17(16), 2594.
https://doi.org/10.3390/nu17162594
A rövid összefoglalókat a tudományos publikációk szerzői készítették.
Szerkesztette: Szabó Ádám
Fotó: a publikációkból származó képek
A cikket a Semmelweis Egyetem Kommunikációs Igazgatósága tette közzé.